Designed for Your
Health & Well Being
Richards Frankel Dentistry uses state-of-the-art techniques and materials, and personalized treatments to restore teeth and create beautiful smiles.
Richards Frankel Dentistry understands that each patient is unique in their treatment needs and desires. Dr. Margaret Frankel has been trained by some of the world’s most esteemed dentists and performs individualized, world-class treatment. Together with her highly trained interdisciplinary team, patients are exceptionally well cared for.
Restorative & Aesthetic Dentistry
Designed for Functional Health & Well Being – Our Approach
Transforms & Enriches the Lives of Our Patients
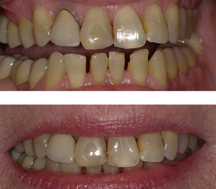
Restorative and Aesthetic Dentistry is used to repair broken down, worn, and diseased teeth. Richards Frankel Dentistry takes a comprehensive and modern approach to help patients restore their teeth.
Dental Restorations are most often used to replace tooth structure when a tooth’s cavity is removed. Poor oral hygiene, poor diet, gum recession or a lack of saliva can contribute to tooth decay (cavities). Placement of a dental filling can typically be done in just one visit. Regular dental examinations, as well as dental X-rays, are important tools in detecting early signs of decay.
Richards Frankel Dentistry performs a variety of comprehensive dental restoration services including crowns, fixed bridges, full mouth rehabilitation, implant restorative dentistry, composite bonding, and more.
- Comprehensive Diagnostic Services
- Crowns
- Fixed Bridges
- Porcelain Veneers
- Full Mouth Rehabilitation
- Implant Restorative Dentistry
- Composite Bonding
- Bleaching Therapies
- Esthetic Enhancement
- Minimally Invasive Dentistry
- Periodontal Assessment & Disease Control
- Sleep Apnea Treatment
- Laser Dentistry

